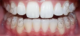
Niềng răng không mắc cài Invisalign hiệu quả
Xin Vui Lòng Đợi....

Xe Giường Nằm Cao Cấp Ngọc Thương - Đặt Vé 0922332222 (250.000 đ)  76.992 30/04 Quy Nhơn
Bảng Giá Quảng Cáo và Đăng Tin VIP (100.000 đ)  74.495 30/04 Toàn Quốc
Tượng Hoàng Thần Tài Kim Sa Vàng Cao 28cm - Tặng dây tiền đồng (699.000 đ)  3.505 30/04 Toàn Quốc



Niềng răng không mắc cài Invisalign hiệu quả

  Thùy Vân    Ngày đăng: 12/05/2017   Khu vực: Bình Định   Giá vnđ: Liên hệ
Lượt xem: 486 

Để loại bỏ các hiện tượng răng mọc lệch lạc, hô vẩu hay xiêu vẹo thì niềng răng là giải pháp hiệu quả nhất. Hiện nay có nhiều phương pháp niềng răng nên mọi người vẫn lo lắng và không biết lựa chọn phương pháp nào để hiệu quả và an toàn. Nếu như niềng răng mắc cài cố định khiến nhiều người luôn có tâm lý nặng nề vì phải mang mắc cài kim loại và sợ người khác phát hiện mình đang niềng răng thì niềng răng không mắc cài Invisalign thẩm mỹ là giải pháp cứu cánh cho hàng triệu người thoát khỏi tâm lý nhọc nhằn trên.


Khay niềng răng không mắc cài Invisalign

Niềng răng không mắc cài Invisalign hiệu quả

Niềng răng không mắc cài Invisalign là phương pháp điều trị các hiện tượng lệch lạc răng bằng cách sử dụng khay niềng răng trong suốt. Đó là một loại khay được làm từ chất liệu nhựa đặc biệt và an toàn cho khách hàng, và khả năng ôm sát vào cung hàm răng rất cao. Khi mang khay niềng răng này bạn sẽ cảm nhận mức độ di chuyển của các khay niềng răng một cách từ từ và đều đặn. Một ca niềng răng bệnh nhân phải mang trung bình từ 18-36 khay niềng răng. Mỗi khay niềng răng invisalign bạn chỉ mang khoảng 2 tuần là phải thay khay niềng răng mới vì mỗi lần thay khay là tạo lực di chuyển răng, cho nên khi thay khay bạn sẽ cảm nhận được răng dịch chuyển sang vị trí mới từng chút một nên răng khít sát vào nhau, trở nên đều đặn hơn.

Điểm đặc biệt của khay niềng răng trong suốt là bạn có thể tháo ra lắp vào dễ dàng để sử dụng thức ăn và vệ sinh răng miệng hiệu quả hơn. Để đảm bảo hiệu quả bạn phải mang khay niềng răng từ 20-22 giờ trong một ngày.


Bệnh nhân có thể tự tháo lắp khay niềng răng dễ dàng

Phương pháp này đã được chứng minh là hiệu quả và an toàn cho khách hàng, là giải pháp giúp hàng triệu người thoải mái với hàm răng đều đặn và trắng sáng. Nhiều người có tâm lý e ngại vì sợ mang mắc cài sẽ cản trở công việc và giao tiếp nhưng sau khi sử dụng khay niềng răng không mắc cài các vấn đề về răng mọc lệch, khấp khểnh hay không đúng vị trí đã được giải đáp trọn vẹn. Bạn sẽ sở hữu hàm răng đều đặn và khuôn mặt khả ái hơn.

Hơn nữa, niềng răng sẽ hạn chế các hiện tượng sâu răng, hôi miệng hay các bệnh viêm nha chu…

Tham khảo thêm chi phí niềng răng: niềng răng giá bao nhiêu ?


Mang khay niềng răng từ 20-22 giờ trong một ngày

Niềng răng hiệu quả ở đâu ?

Phương pháp niềng răng không mắc cài phổ biến ở nhiều cơ sở nha khoa nhưng không phải trung tâm nào cũng đảm bảo quy trình đúng quy chuẩn của phương pháp niềng răng hiện đại này. Nha khoa Đăng Lưu là cơ sở nha khoa tại thành phố Hồ Chí Minh được trang bị đầy đủ thiết bị máy móc chất lượng nhập khẩu từ phương Tây và đội ngũ bác sĩ chuyên nghiệp đủ điều kiện và quy chuẩn để giúp bạn sở hữu hàm răng đều đặn, thẩm mỹ.

Loại tin: Rao Vặt     Đánh giá:     Bình luận: 0    Yêu thích    Báo tin xấu   In   Gửi tin

  Thùy Vân   doanthuyvan93@gmail.com     

 Tin khác của Shop suckhoe280 - Xem Shop



BÌNH LUẬN
Bạn phải Đăng nhập thành viên mới được gửi bình luận. Đăng ký nếu chưa có tài khoản
Đánh giá
 ‹ Nhập số này vào ô kế bên
Tin mới cùng chuyên mục Dịch Vụ Tổng Hợp
Sunwingreen (23 đ)  16 23/04 Hà Giang
Kinh nghiệm thi công vách ngăn vệ sinh 2 buồng nhỏ bền và đẹp (Liên hệ)  5 22/04 Hà Nội
Bột Graphite, tấm Graphite bôi trơn, tấm Graphite điện cực, tấm than chì chặn nhiệt (100.000 đ)  131 22/04 Hà Nội
Rs88vnzacom review link (70,000 đ)  12 21/04 Gia Lai
Bí quyết chọn vách ngăn vệ sinh tiết kiệm chi phí mà vẫn bền đẹp (Liên hệ)  10 20/04 Hà Nội
LC79 - Trang chu LC79Club (70.000 đ)  17 18/04 Hà Nam
1GOM.FOOTBAL Link vào bóng 1GOM Mới Ưu Đãi 1 Gom +899K (Liên hệ)  38 17/04 Hà Giang
99haywinapp (65 đ)  35 16/04 Hà Nam
Mặt nạ phòng độc 3M ở đâu uy tín (420.000 đ)  14 16/04 Hồ Chí Minh
Trusted studio for safe and artistic tattoos in Ha Noi (Liên hệ)  21 16/04 Hà Nội




SOI KÈO
Xem Theo Tỉnh Thành
Toàn Quốc  Quy Nhơn  Bình Định  Hồ Chí Minh  Hà Nội  Cần Thơ  Đà Nẵng  Hải Phòng  An Giang  Bà Rịa - Vũng Tàu  Bình Dương  Bình Phước  Bình Thuận  Bạc Liêu  Bắc Giang  Bắc Kạn  Bắc Ninh  Bến Tre  Cao Bằng  Cà Mau  Đắc Nông  Đắk Lắk  Đồng Nai  Đồng Tháp  Điện Biên  Gia Lai  Hà Giang  Hà Nam  Hà Tĩnh  Hòa Bình  Hải Dương  Hậu Giang  Hưng Yên  Khánh Hòa  Kiên Giang  KonTum  Lai Châu  Lào Cai  Lâm Đồng  Lạng Sơn  Long An  Nam Định  Nghệ An  Ninh Bình  Ninh Thuận  Phú Thọ  Phú Yên  Quảng Ngãi  Quảng Ninh  Quảng Bình  Quảng Nam  Quảng Trị  Sóc Trăng  Sơn La  Tây Ninh  Thanh Hóa  Thái Bình  Thái Nguyên  Thừa Thiên Huế  Tiền Giang  Trà Vinh  Tuyên Quang  Vĩnh Long  Vĩnh Phúc  Yên Bái 


Đăng Tin Hiệu Quả
Tiếp cận hàng triệu khách hàng trên internet. Tin đăng luôn được khách hàng tìm kiếm và hiển thị giúp việc trao đổi mua bán rao vặt được hiệu quả nhất. Tin đăng được hỗ trợ Seo với các công cụ tìm kiếm trên internet.

Chức Năng Hỗ Trợ
Thành viên với trang Shop đường dẫn trang riêng biệt. Ngoài việc chống spam tin đăng trùng lặp. Khách hàng có thể sử dụng chức năng làm mới tin đăng. Đăng tin nhanh không cần đăng kí thành viên. Hỗ trợ chức năng tìm kiếm tin đăng và tìm kiếm nâng cao. Lưu theo dõi tin cần thiết. Xem và đánh giá bình luận tin đăng một cách đáng tin cậy.

Tiếp Cận Người Dùng
Website được truy cập hàng ngày với lượng lớn người dùng nên việc tiếp cận thông tin từ tin đăng đem lại rất lớn. Tin đăng được tồn tại miễn phí và mãi mãi trên hệ thống do đó luôn luôn được tiếp cận với người dùng.

Hỗ Trợ Quảng Cáo
Ngoài chức năng đăng tin rao vặt mua bán thông thường. Chúng tôi còn hỗ trợ duy trì với tin VIP được nhiều người biết đến hơn. Giúp việc đăng tin của bạn một cách hiệu quả nhất. Đăng baner quảng cáo trên trang để nhắm đối tượng được hiệu quả và tin cậy.


* Nghiêm cấm Spam!

Quảng Cáo và Đăng Tin VIP - Hướng Dẫn Trợ giúp

Quy định đăng tin  |  Quy Chế Hoạt Động  |  Quy Chế Tranh Chấp  |  Quy Chế Thông Tin

Trang chủ  -  Mua  -  Bán  -  Dịch Vụ  -  Rao Vặt  -  Quảng Cáo  -  Hợp Tác  -  Cung Cấp  -  Tặng  -  Thuê  -  Giao Dịch  -  Free Ship  -  Khuyến Mãi  -  Đăng tin  -  Đăng nhập  -  Đăng ký  -  Trợ giúp  -  Sitemap  -  Liên hệ
Báo Giá Quảng Cáo
raovat.phamngoctrio.com Copyright © 2009 TRIO MEDIA.
Email: nhuanhhuyen@gmail.com Điện thoại hỗ trợ đăng tin và tin Vip: 0988689818
RaoVatQuyNhon.com - Trio.vn - RaoVatDangTin.com - phamngoctrio.com - RaoVat.cc - RaoVat.click
tip bong da - soi keo - soikeo